静岡 藤枝 焼津 オーダーメイドシューズ 靴 友樹 外反母趾,リウマチ,リハビリシューズ,巻き爪,足の悩み,浜松

HOME | 注文靴 | 外反母趾 | 靴の害、外反母趾

  
 
 
 

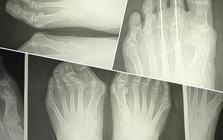
外反母趾に善い痛みの原因を持たない靴

静岡・藤枝・焼津 オーダーメイドシューズ 靴 友樹ゆうき
静岡県藤枝市高洲32-31
TEL 054-636-7462
 090-3855-0793 

靴の害、外反母趾

 

 靴の健康被害、外反母趾。
外反母趾の痛みで悩む方が多いのですが、それ以上に・・・

 

外反母趾の痛み・・・

痛みと靴が切り離せない辛い悩みをお持ちの方、
生活面、自由を奪われ苦しんでいる方も少なくありません。
 
ご相談者の多くの方が
歳を重ねながら足に適切な環境の靴を求める事が出来ず
痛みを増し、変形症状、体を支える事が大変になり
歩行の困難、膝や腰などの痛みの発症に。
 
外反母趾の問題は痛みだけではありません。
その変形症状から多くの身体の不具合と
ほかの症状、病気を発症させてしまう方、
歳を重ねて健康、生活、行動の自由を奪われて
行く方が多いです。

 
 
 
 
 
 

外反母趾の痛みや悩みに
靴型から足に合う靴を作成。

ご相談ください。

外反母趾対策
Hallux valgus

 
足に合わせられた靴は残念ながら販売されていません。
自分の足と購入時、選んだ靴がどれだけ足に合わない、
不適切であるのかを実際は知っておきたい大切な事です。
 
既製品の靴、市販の靴の目的は商用。
製造は安価に靴を作り易くし、
人の足に適した環境を求める事よりも
かっこよくや綺麗、可愛さを人の目に訴え、
靴選びの際に靴の中に足が入らなければ売れにくいので、
「 大は小を兼ねる 」本当の足とのフィット性を
求められる靴作りはされていません。
足に合わせられる必要最低限の条件と素材や加工、デザイン・・・と
様々に人の履くこと、健康に理由と役割を備える靴でありたいモノです。
 
 
外反母趾対策を真剣に、本当に望むのであれば
その現実は市販の靴、既製品の靴で可能な靴選びは
絶対にありません。
 
靴を履くことで健康に影響を強め、
症状や悩みを歳を重ね増やしていくことは
現代の靴社会、靴選び、靴の志向では必至です。
 
少しの悩みがほかの悩みとつながるのも靴のリスク、危険でもあります。
 
靴を買う、選ぶのではなく、
 
 
 
 
 
外反母趾の対策として
 
 
 
 
 
 
 

 
それは商用とした靴作り。
足と健康に不適切、外反母趾など
人の健康を害する事、
暮らしを脅かされる原因となる事を
無責任にも、肯定した職業意識、道徳。
 

 
人の足はおひとりお一人が違い、
その違いに最適な足の環境を作ることは
とても大切です。
 
健康は特に靴が原因で悪くし続けます。
今後の暮らしに大きく影響する為、
適切な環境を足に求める事が
実際は外反母趾予防の最低の条件です。
 
 
 
 

外反母趾予防

 

 
 
 
 
 
 外反母趾予防の最低限の条件をご理解いただく為には
市販の靴、既製品、量産される靴が
どんな作り、木型、材料、部材などで
作られているのかを知ると
とても健康を守る事の出来ない
影響の大きな靴の社会、現代ということが
お判りいただけます。
 

外反母趾対策